FAQ: What should I do if my child knocks out his permanent tooth? The best thing to do with a baby tooth that is knocked out is to put it under the child’s pillow for the tooth fairy. However, when a permanent tooth is knocked out, it is critical that action be taken immediately because […]
Our Blogs
FAQ: Why are baby teeth important?
FAQ: Why are baby teeth important? They’re going to fall out anyway, right?! Baby teeth, or primary teeth, are present in the child’s mouth from around 6 months until they are twelve. Baby teeth are critical for a child’s eating, smiling, speaking, and facial development. With good brushing and flossing, and with a reasonable […]
FAQ: What are sealants?
FAQ: What are sealants? Sealants are a protective coating that can be placed in the deep grooves and pits of permanent molars (and sometimes other teeth). It is a white material that flows into the cleaned enamel, and when the blue light hits the sealant, it is cured and bonded to the tooth surface. Typically […]
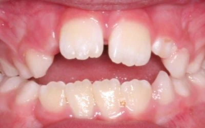
FAQ: What are the different ways you can fix my child’s cavities?
FAQ: What are the different ways you can fix my child’s cavities? Actual picture of a patient treated by Dr. Baxter. The treatment we use for children will depend on many different factors and can be quite complex. The two most important factors are the child’s age and their risk of future cavities. The treatment […]
FAQ: Is it ok if my child still sucks their thumb or pacifier?
FAQ: Is it ok if my child still sucks their thumb or pacifier? Thumb sucking and pacifier sucking is very common in young children because so many babies use these methods to self-soothe beginning at birth. Sometimes, babies can be seen sucking their thumb in the womb, (like our daughter Hannah). Often, babies fall asleep […]
FAQ: How Does My Child Get Cavities?
FAQ: How Does My Child Get Cavities? The two ways that your child can get cavities are by not brushing (or flossing) his or her teeth, and by consuming too much sugar. Sugar can be in many forms, either liquid (milk, juice, or other sugary drinks) or solid (sweets and candy). Typically the liquid form […]
FAQ: When should my child first go to the dentist?
Does my child need braces?
FAQ: Does My Child Need Braces? We hear this question daily too! Sometimes, parents ask if their two year old will need braces… and often it is too early to tell. Typically we can spot major problems early (severe crowding, jaw growth problems) around age 4-5. Once the permanent teeth start to erupt, we can […]
Fluoride: Fact or Fiction?
FAQ: Should my child use a fluoride toothpaste? We have parents ask this question daily as well. The answer may surprise you! We follow the American Academy of Pediatric Dentistry and American Dental Association recommendations of starting a fluoride toothpaste as soon as you start brushing the teeth. Wait! I thought fluoride is dangerous if […]








