FAQ: Is it ok if my child still sucks their thumb or pacifier?
Thumb sucking and pacifier sucking is very common in young children because so many babies use these methods to self-soothe beginning at birth. Sometimes, babies can be seen sucking their thumb in the womb, (like our daughter Hannah). Often, babies fall asleep with pacifiers for nighttime or naps, and it can be very difficult to break this habit due to crying and sleepless nights.
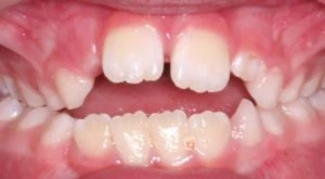
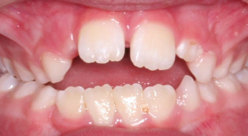
However, it is critical that these habits are addressed before the age of three. Most studies show that if the child can quit using a pacifier or sucking their thumb before age three, there shouldn’t be too many long-term effects. The good news is that most children quit on their own between age 2 and 4. Of course, the frequency and intensity of the sucking habit can cause damage to the teeth and jaws by age three (if they are using it all day, sucking very hard, etc.). These sucking habits can cause changes to the growth and development of the teeth, and even the shape of the face.
There are several methods to encourage children to stop pacifier sucking or thumb sucking, but whatever method you choose, it will be a challenge. There are some helpful blogs and other websites to help with creative ideas for stopping sucking habits. You can have a party for your child after thirty days of being pacifier or thumb sucking free. You can take the pacifier to a toy store and have your child “buy” the toy by giving the pacifier to the cashier to “pay for it” (after you of course paid for it already!). If these options don’t work for a thumb sucking habit, before trying an appliance that could be placed in the mouth, the next step would be to try a bitter, clear nail polish called Mavala Stop. It works very well if used appropriately, not on children under three, and used consistently for about 40 days. It is used as a reminder to the child to not suck their thumb, NOT as a punishment. We see good results with this method when others have failed, so if you have a thumb sucker at home, order some online, or get some when you’re at the office. If you have any other questions, or if you would like to schedule an appointment, please call us at 205-419-7444.
