FAQ: How Does My Child Get Cavities?

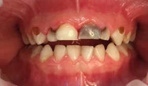
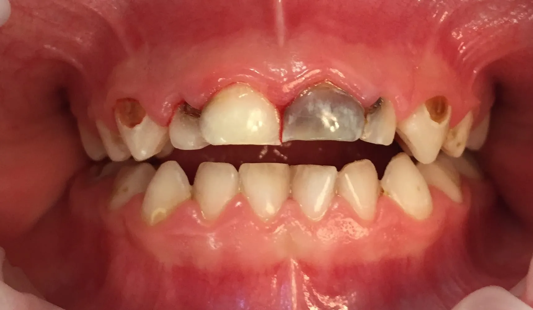
Cavities
The two ways that your child can get cavities are by not brushing (or flossing) his or her teeth, and by consuming too much sugar. Sugar can be in many forms, either liquid (milk, juice, or other sugary drinks) or solid (sweets and candy). Typically the liquid form of sugar can cause cavities quicker in children. Often when we see decay in a young child, they have had access to a bottle or sippy cup whenever they want it, or they drink from a bottle at nighttime with milk in it. Milk contains a natural sugar, lactose, which can be changed into an acid by the bacteria in the mouth and cause cavities when it sits on the child’s teeth. Juice, chocolate milk, sweet tea, or even Coca Cola are often given to children to drink. These all contain similar amounts of sugar and can cause tooth decay extremely rapidly. (Side note: Juice contains more sugar than Coca Cola!) If this process of changing sugars from the diet into lactic acid by the bacteria in the mouth happens often over time, the enamel will begin to weaken. The rate of cavity formation is based on the frequency of sugar intake. If the tooth is exposed to sugar (and therefore acid) more frequently, the enamel will dissolve faster, and cavities will form rapidly. So the best time for a child to drink a beverage containing sugar (even milk) is just with meals, rather than throughout the day. At night, if a child has milk or juice, it stays on the teeth for a very long time, and there is not much saliva produced at night to wash it off the teeth. Therefore, children should only drink water at night and should drink water throughout the day as much as possible.
The frequency of sugar consumed is only one piece of the puzzle. We also need to have high amounts of bacteria that can convert the sugar to acid. The main way we can reduce the bacteria in the mouth is by brushing and flossing. It’s important to start brushing a child’s teeth as soon as they enter the mouth, typically around six months. You can begin using a fluoride toothpaste (which makes the enamel stronger and harder to dissolve) as soon as you start brushing by using a smear of toothpaste. As soon as teeth begin to touch, most often where the back molars meet or where the two front teeth meet, it’s a good idea to start flossing. You can use little flossers with handles, and wipe the piece of floss off after going between each set of teeth.
The final piece of the puzzle is the part that you cannot really change. Your child will get bacteria in their mouth that can cause cavities (typically from mom, but sometimes from dad or another relative). So it’s important for everyone around the baby to have excellent oral health to minimize the bacteria transferred when you kiss your baby, they try your food, or any other activities where saliva may be transferred from parent to baby. However, you cannot change the genetics that influence the hardness of the teeth. Some people’s teeth are a little softer (and more likely to get cavities), and we don’t yet know why. BUT the important thing to realize is that if you or your spouse have “bad teeth” or if you have a history of “soft teeth” in the family, be sure to be extra careful with sugar in the child’s diet and be extra careful to brush your child’s teeth very well, twice a day. Even if the child has “softer teeth”, he or she can still be cavity free with good brushing and limiting sugar intake.
If you have any other questions about cavities in young children, we would be happy to answer them for you. Call our office at 205-419-7444.

